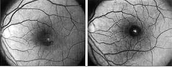
黄斑前膜
2019-03-21 08:56:13
福州眼科医院成为湿性老年黄斑变性和视网膜静脉阻塞继发的黄斑水肿医治抗新生血管生长因子(抗VEGF)诺守光明-患者援助项目合作单位
2019-03-18 10:56:47
温州明乐眼科医院成为雷珠单抗PAP慈善入组医院 湿性年龄相关性黄斑变性、视网膜静脉阻塞以及糖尿病性黄斑水肿患者
2019-02-20 15:57:27
2月21日(本周六)2019中国眼底病论坛暨环球视网膜研讨会大会将在上海举行,厦门眼科中心总院长黎晓新教授
























