易游体育
当前位置: 首页 > 就诊指南 > 常见眼病新闻
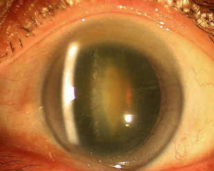
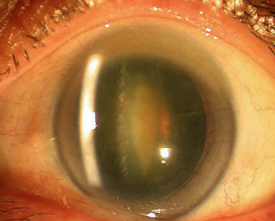
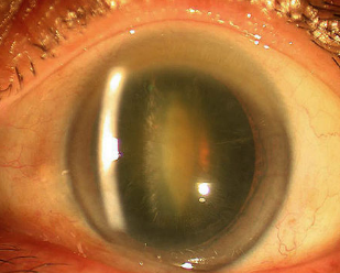
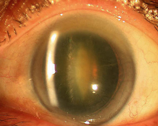
综合性白内障
2023-10-11 15:36:39
徐州白内障报销的比例要看选择的晶体,徐州白内障手术的价格,一般在10000-20000元,但具体的价格取决于手术方式,以及各地区不同医院、所在区域,具体的价格可能会有所差异。
2023-04-19 15:00:01
青岛老年白内障手术费用是多少?在青岛老年白内障手术费用大概在2000~20000元左右,属于医保范围,是可以报销的。
2021-01-14 09:09:20
白内障手术“超全攻略”、晶体怎么选?看这一篇就够了
2021-01-12 14:33:24
我看到了9个月亮,中国医生一招解决!“洋女婿”患白内障几近失明,在厦门眼科中心手术
2020-12-23 11:58:09
易游体育学术资讯:第二十届全国白内障及屈光手术学术会议开幕
2020-10-19 14:29:03
三焦点/无极变焦人工晶体,白内障人群该怎么选?
2020-09-26 10:06:24
2020中国医学装备协会眼科专委会年会日程安排
2020-09-18 17:29:28
一分钟了解:为什么说手术是解决白内障的较好办法?
2020-09-18 11:56:34
9月28日,橙红岁月-视觉追忆暨上海和平眼科医院大咖中秋见面会诚邀您的到来!
2020-09-18 11:26:31
一患者眼力健无极变焦晶体和蔡司三焦点人工晶体

易游体育微信公众号 微信公众号