人的眼球后面有一布满微血管的薄膜即视网膜,对于高血糖与高血压患者而言,其视网膜上的微血管容易出现扭曲变形甚至破裂出血。尤其是长期、慢性高血糖导致的视网膜病变:出血、水肿、渗出、视网膜脱离等严重损害视力。

糖尿病与糖网病的关系
糖尿病患者在5年病程之内发生视网膜病变者较少,约10%的患者在发病后5至9年发生视网膜病变,15年后发生者约占50%,25年后发生者占80~90%。
糖网病病理
毛细血管内皮细胞破坏
周细胞的选择性减少甚至消失
细胞移行、增生
新生血管形成
出血、渗出、膜增殖、牵拉性视网膜脱离

糖网病的临床症状
早期:多数患者没有 临床症状——糖网病是导致失明的无形杀手。
晚期:严重视力下降 出现视网膜大片出血、玻璃体积血、牵拉性视网膜脱离、新生血管性青光眼、黄斑水肿。

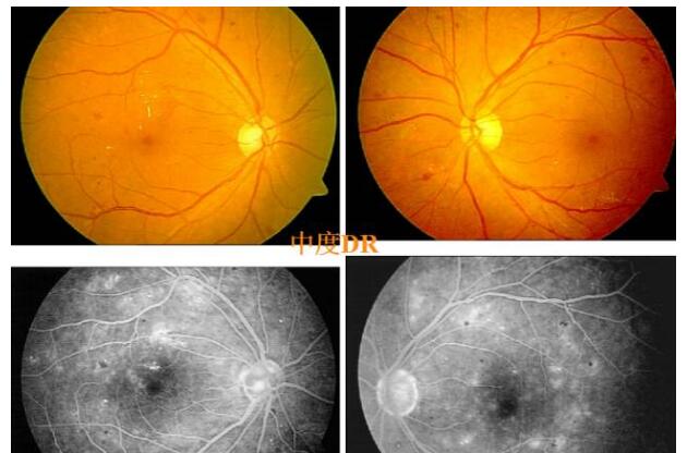
糖网病的眼底表现
微血管瘤
出血斑
渗出
视网膜静脉扩张、动脉变细、小血管闭塞
新生血管
玻璃体积血
牵拉性视网膜脱离
糖网病的检查手段
眼底镜:简便易行
眼底照相:客观记录
眼底荧光血管造影:更清楚、更敏锐
OCT(光学相干断层扫描)
6糖网病的处理
对糖尿病病程10年和伴有轻微非增殖期DR病的病人,应建议半年进行一*次眼底检查,如伴有中期的DR和或糖尿病超过10年的病人应每三个月检查一*次。
7糖网病的医治
控制血糖:将血糖控制到正常或接近正常水平,有益于延缓DR病变的进行或减轻病情
药物医治
激光医治
玻璃体切割术
VitB12 (弥可保)辅助医治
“糖网病 及早发现,及时医治,病情是可以得到控制的。先医治先控制,能药物医治就不要拖到必须手术医治。有医治条件的,能保留视力就不要拖到失明,不要给自己和家人留下遗憾。”易游体育眼底病专家总结道。






















